


Wir sind in freudiger Erwartung auf unseren D-Wurf !!
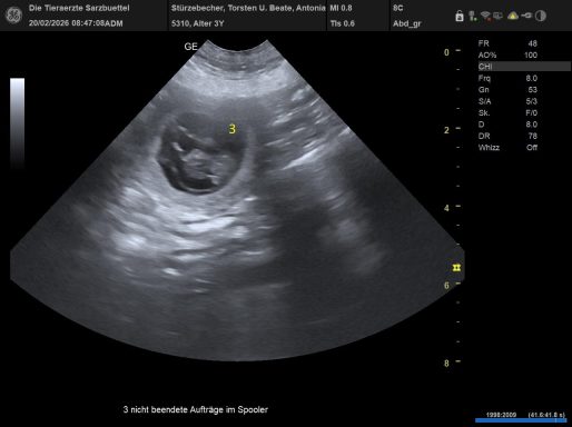
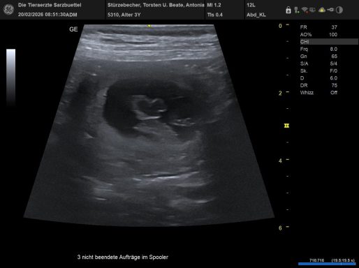
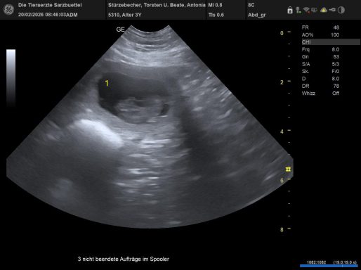
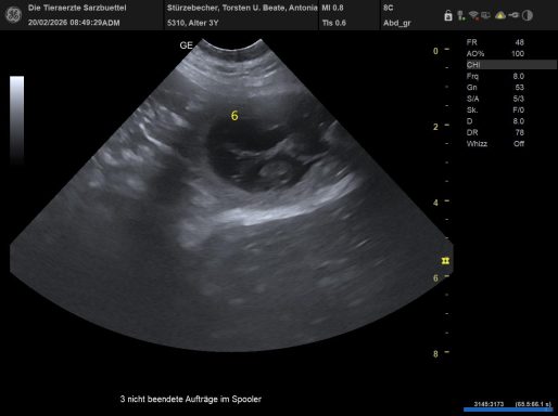
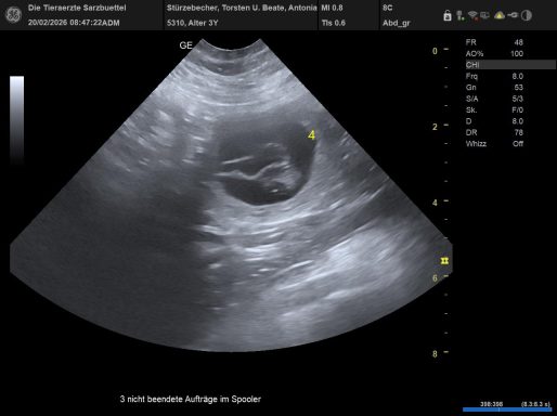
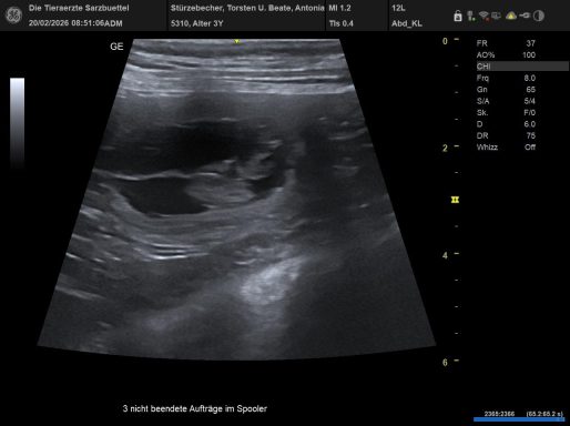
Antonia und Haakon werden wieder Eltern . Gestern am 20.02.26 waren wir mit Antonia zum Ultraschall und unsere Tierärztin konnte 6-7 Fruchtblasen erkennen , tippt aber eher auf mehr . Wir sind gespannt und halten Euch auf dem Laufenden......
Hier schon mal ein Paar Ultraschallbilder
Update 20.03.26
Heute waren wir mit der Mama zum röntgen, Unsere Tierärztin ist sich noch nicht zu 100% sicher aber sie sagt sie hat 8 Babys gezählt . Aber schaut euch das Bild selber an und versucht zu Zählen viel Spaß dabei .

Und während sich Antonia auf die Geburt vorbereitet , haben wir im Freilauf schon mal alles für die kleinen vorbereitet so das wenn sie Groß genug dafür sind (ca.3-4 Wochen alt) und das Welpenzimmer verlassen ein kleinen Abenteuerspielplatz vorfinden . von hieraus geht es auch auf den Rasen wo sie noch mehr Abenteuer erleben können . Wir haben mal versuch ein bischen für euch davon einzufangen .






Die Spielzeugkiste wartet das sie ausgeräumt wird , je bunter desto besser
Das Highlight für jeden Wurf bis jetzt . auf der Schaukel wird getobt, gerangelt und tatsächlich auch immer wieder geschlafen drunter wie auch oben drauf
Die Wackelbrücke für mutige
Bärchenkinder
Einmal ein kleiner gesamt Überblick
Eine kleine Kuschelecke muss auch sein , die wird später noch erweitert durch Decken und viel mehr Kuscheltiere
Zum erkunden und toben , alles was sich bewegt ist immer so spannend. Durch die Tür im Hintergrund geht es raus auf den Rasen.


Aber auch das Welpenzimmer drinnen ist vorbereitet







